Jsem takový typ člověka, který opravdu hodně dbá na to, jak vypadá. Vždycky jsem chtěla vypadat dobře, ale také dělám všechno pro to, abych o sebe pečovala a také, abych vypadala dobře. Ale abych se přiznala, tak vlastně v mém okolí není žádná žena, která by nikdy si nepřála vypadat opravdu krásně a mladě, kdežto všude v časopisech říkají, že stárnout se má přeci s grácií. Jenomže je to většinou tak, že když si čtete časopis, kde se píše, že se má stáhnout s grácií a že máte stáří přijímat takové, jaké je, tak potom na další stránce máte vždycky nějaké reklamy na plastické chirurgie.

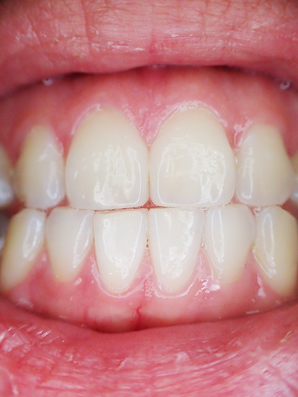
Myslím si, že tohle je docela nespravedlivé, ale že zase na druhou stranu by každá žena měla uznat sama, co je pro ni vhodné a co bych chtěla tak dodržovat. Například já chodím pravidelně na různé kosmetické procedury a také v neposlední řadě jsem si řekla, že bych mohla jít na dentální hygienu. Chtěla bych si nechat vybělit zuby a také odstranit profesionálně zubní kámen, protože můj předchozí pan zubař tohle vůbec nedělal, což mě hodně naštval, takže jsem si našla nejenom nového zubaře, ale také nového dentálního hygienistu. A protože bydlím v Praze, tak mě velice zaujala cena za dentální hygienu v Praze.

Musím uznat, že pražská dentální hygiena se mi opravdu hodně zamlouvala, protože má skvělé podmínky a také jsou tam profesionálové, kteří mi vždycky se vším poradili. Také jsem potřebovala vědět, jak správně čistit zuby mezizubní nití, protože stále by to nešlo a vždycky jsem si akorát poškrábala dásně, což mě opravdu hodně vadilo. Nyní jsem opravdu spokojená. A dentální hygienu opravdu navštěvuji pravidelně, a to čtyřikrát ročně. Jsem ráda, že mám také vybělené zuby, protože tohle byl vždycky můj sen a konečně jsem se do toho odhodlala. A jak jste na tom vy? Také navštěvujete pravidelně zubaře nebo dentální hygienu?